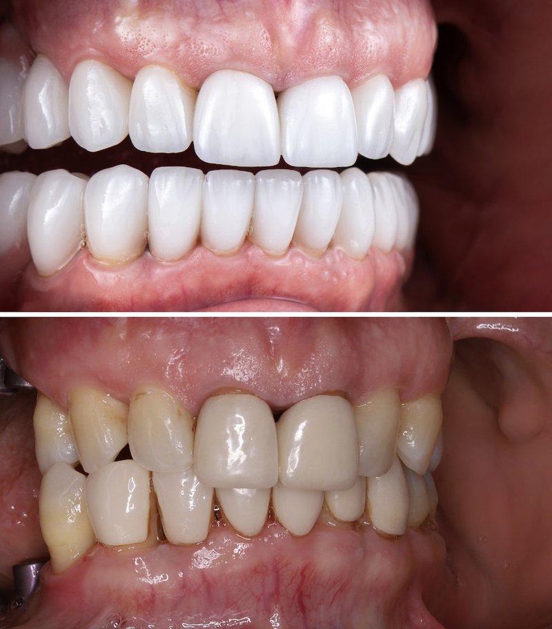
Porcelain veneers are wafer-thin shells that are bonded to the front surface of teeth to enhance their appearance. But behind that perfect smile is a complex process involving highly engineered materials. The two most common types of materials used for dental veneers are porcelain and composite resin.
Dental porcelain is a highly engineered ceramic material developed for long-term use in the oral environment. It is valued for its exceptional aesthetic properties, biocompatibility, and mechanical strength. According to the American Dental Association (ADA), both feldspathic porcelain and glass ceramics, such as lithium disilicate (e.g., IPS e.max), demonstrate high survival rates. Glass ceramic veneers show a cumulative survival rate of 94% over 7 years, compared to 87% for feldspathic porcelain over 8 years. These materials are considered highly resistant to abrasion and offer a long-lasting aesthetic result.s
However, porcelain veneers require more enamel removal during prep, and they are generally more expensive than composite alternatives.
Composite resin veneers can be applied directly in a single dental visit. While they don’t offer the same translucency or longevity as porcelain, they’re still a valuable option:
But: they are more prone to staining and typically last 5–7 years.
| Feature | Porcelain Veneers | Composite Resin Veneers |
|---|---|---|
| Aesthetics | Very natural, translucent | Less natural |
| Durability | 10–15 years | 5–7 years |
| Stain Resistance | High | Moderate to low |
| Biocompatibility | Excellent | Good |
| Enamel Removal Required | Moderate | Minimal |
| Repairability | Needs full replacement | Easily repaired |
| Cost | Higher | Lower |
"Choosing the right veneer material isn’t just about looks — it's about long-term oral health and lifestyle compatibility," says Dr. James C.H. Ko DDS. "Porcelain may be the go-to for aesthetics, but composite has its place in specific cases."
The accuracy of your dental impressions can significantly influence the final look and fit of your veneers. Impressions are the blueprint for crafting custom veneers, and they can be taken using either digital scanning technology or traditional physical moulds.
Dentists are increasingly using intraoral scanners, such as iTero or TRIOS, to create precise 3D images of a patient's teeth. These high-resolution scans:
A study published in the Journal of Prosthetic Dentistry (2019) demonstrated that digital impressions are at least as accurate — if not more — than conventional ones for single-unit restorations.
Despite the rise of digital technology, traditional impressions using PVS (polyvinyl siloxane) or alginate materials are still common. These require the patient to bite into a tray filled with soft material, which then hardens to form a mould.
Pros:
Cons:
"Digital impressions allow for superior patient experience and lab communication," notes Dr. Amir Guorgui, BSC, DMD, MACSD. "But the decision often comes down to the dentist's tools and the complexity of the case."

Porcelain veneers are not a one-visit procedure. They require a structured process that ensures both functional durability and cosmetic success.
The journey begins with a comprehensive consultation:
This stage determines whether you’re a candidate for veneers and what results you can realistically expect.
Once approved, the dentist will:
Local anesthesia may be used, especially if the teeth are sensitive.
While your permanent veneers are being fabricated (usually 1–2 weeks), temporary veneers may be placed. These are:
Although not as durable or aesthetically pleasing, they help you preview the final result.
The dental lab takes over:
Lab communication is crucial at this stage — digital scans often expedite this process.

Once the veneers are ready:
After curing the cement, final adjustments are made to bite and contour.
| Step | Purpose | Timeline |
|---|---|---|
| Consultation | Assessment and planning | 1 visit |
| Preparation | Enamel removal, impression | 1 visit |
| Temporary Veneers | Interim aesthetics and protection | 1–2 weeks |
| Lab Fabrication | Custom crafting of veneers | 7–14 days |
| Final Bonding | Placement and final adjustments | 1 visit |
Post-procedure care is essential. Patients are advised to:
Routine dental visits will also ensure the veneers remain in top shape for years.
On average, the process of getting porcelain veneers spans 2 to 4 weeks from the initial consultation to final bonding. However, the exact timeline depends on several factors such as the number of veneers being placed, whether temporaries are needed, and the type of impression technique used.
| Phase | Time Required |
|---|---|
| Initial Consultation | Same-day |
| Tooth Preparation | 1–2 hours |
| Temporary Veneers (if needed) | 7–14 days |
| Lab Fabrication | 1–2 weeks |
| Final Bonding | 1–2 hours |
Factors like lab turnaround times and patient scheduling can also influence the duration.
Additionally, rush orders may be available in select clinics, but they often incur additional costs and may limit customization options.
The final bonding appointment is critical — it’s when temporary veneers are replaced with your permanent custom restorations. The success of this visit depends not only on how your veneers look, but also on how they feel and function.

Temporary veneers are not just placeholders — they serve both functional and aesthetic purposes during the wait for permanent restorations.
Choosing between porcelain and composite veneers involves more than just cost — it's a decision shaped by your expectations, oral health, and lifestyle. While both options improve your smile, porcelain veneers are generally favoured for their long-term benefits.
Porcelain is significantly more resistant to wear and tear:
Porcelain has superior light reflection and better stain resistance. Composite tends to dull and discolour over time, especially with coffee, tea, or wine.
| Feature | Porcelain Veneers | Composite Veneers |
|---|---|---|
| Durability | 10–15 years | 5–7 years |
| Stain Resistance | Excellent | Moderate to poor |
| Aesthetic Quality | High translucency | Less natural appearance |
| Cost (per tooth) | Higher upfront | Lower initial cost |
| Maintenance | Minimal | May need frequent repair |
| Procedure Time | 2–3 visits | Often 1 visit |
Read also: Why Choose Invisalign Over Traditional Braces? A Full Comparison
Porcelain veneers aren't the only route to a better smile. Depending on your dental needs, other treatments may be more appropriate — or even combined with veneers.
A quick, minimally invasive procedure where tooth-colored resin is applied and sculpted:
Pros:
Cons:
Used when teeth are structurally compromised or have extensive decay:
Pros:
Cons:
Ideal for patients with misaligned or gapped teeth:
Pros:
Cons:
For patients mainly concerned with discoloration:
Pros:
Cons:
| Treatment Option | Best For | Pros | Cons |
|---|---|---|---|
| Porcelain Veneers | Shape, colour, minor alignment | Aesthetic, long-lasting | Cost, enamel removal |
| Composite Bonding | Chips, discoloration | Fast, affordable | Less durable, stains |
| Dental Crowns | Damaged or decayed teeth | Strength, full coverage | Invasive, more costly |
| Invisalign | Alignment issues | Preserves tooth structure | Time-consuming |
| Whitening Treatments | Surface stains | Non-invasive, quick | Temporary, limited scope |
Bringing a new smile to life through veneers is a step-by-step journey, involving precision, customization, and patient collaboration.
| Step | Description |
|---|---|
| Consultation | Assess oral health and goals, discuss expectations |
| Tooth Preparation | Enamel shaping, impressions taken |
| Temporary Veneers | Placed if needed for appearance and protection |
| Lab Fabrication | Custom porcelain veneers crafted in a dental lab |
| Final Bonding | Veneers cemented in place and polished |
| Post-Care | Oral hygiene, follow-ups, and possible minor adjustments |